Organismo sinpleenak duela oso aspaldi agertu zirela hasi beharra dago; planetako biztanle zaharrenak kontsideratzen dira. Euren existentzian zehar, izugarri erresistenteak bihurtu dira hainbat erronketarako. Ingurune arriskutsuenetan ere biziraun dezakete.
Mikroorganismo hauek beren bizitzeko modu oso erosoa aukeratu dute - parasitismoa, bereziki giza gorputzean. Lehen esan bezala, mikroorganismo hauek izugarri "kaltegarriak" eta iraunkorrak dira, eta horregatik batzuetan zaila da haietatik kentzea.
Parasitoak "bizi diren" hainbat leku mota daude. Lehenengo motak mikroorganismo endogenoak biltzen ditu, hau da, giza gorputzaren barruan daudenak. Bigarren motak parasito exogenoak barne hartzen ditu, larruazalean "finkatzen" direnak eta larruazaleko hainbat gaixotasun eragiten dituztenak.
Parasito protozoo motak
Funtsean, giza gorputzean "ondo bizi" diren 4 parasito mota daude.
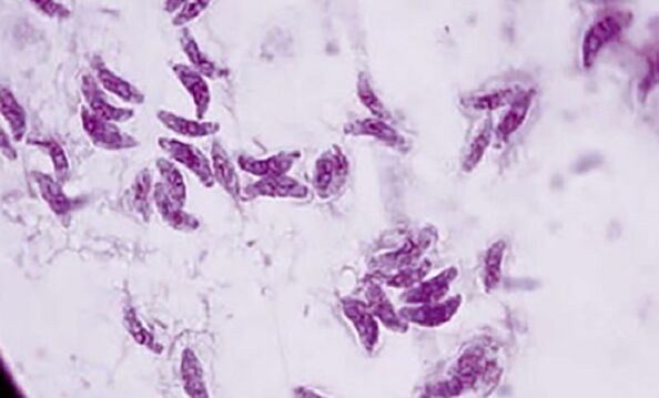
Flagelatuak
Horien artean Giardia eta Trypanosomes daude. Klase hau parasitoen ordezkari zaharrenen ordezkaria da. Izen hau euren mugimenduaren organoagatik jaso zuten: flageloak. Parasitoen tamaina mikroskopikoa besterik ez da, forma konstantea dute eta, oro har, bi zatitan banatuta ugaltzen dira.

Oso arriskutsuak dira gizakientzat eta animalientzat; beren gorputzetan sartzen badira, kalte handia egiten dute. Hainbat gaixotasun ere eragiten dituzte. Esaterako, loaren sukar amerikarra, larruazaleko leishmaniasia eta beste hainbat. Hesteetan, odolean eta azalean parasitatu dezakete. Ondorioz, giza osasunari kalte negatiboa eragiten dio.
Esporozooak
Protozoo-parasito mota honek garapen-bide oso konplexua du. Une honetan jakina da klaseak 1400 espezie inguru dituela. Ordezkari guztiek bizimodu parasito bat "aukeratzen" dute eta oso arriskutsuak dira pertsonentzat eta animalientzat. Ugalketa zelularen zatiketaren bidez gertatzen da.

Gehienetan, gizakien edo animalien ehunak eta organoak aukeratzen dira "bizileku" gisa. Espezie honek gaixotasun asko eragiten ditu. Adibidez, malaria, toxoplasmosia.
Ziliatuak
Horien artean balantidia daude. 7.000 espezie inguru daude. Parasito horien mugimendu-organoak zilioak dira, eta horietako asko daude.

Mota honen ezaugarri berezi bat bi nukleoen presentzia da. Gorputz forma eta oskola etengabea dute. Ugalketa zatiketaren ondorioz gertatzen da normalean. Espezie hau ez da gizakientzat eta animalientzat aurreko biak baino arriskutsuagoa.
Sarkodazeoak
Horien artean daude ameba disenteria. Mota eta klase guztietan primitiboenak dira. 10.000 espezie inguru daude! Ez dute etengabeko gorputz-formarik. Parasitoak dira gizakiengan eta animaliengan.

Gehienetan beren jardueretarako digestio-aparatua aukeratzen dute. Hori dela eta, gizakietan pozoitze oso larriak gerta daitezke. Zenbait kasutan, ohikoak dira heriotzak.
Mota hauek hainbat "proba"ren aurkako erresistentzia handiagatik elkartzen dira. Azken finean, kutsatutako pertsona bat etengabe saiatzen da parasitoei aurre egiten, baina ez du beti funtzionatzen neurri guztiei aurre egiteko modua dela eta.
Zergatik dira arriskutsuak, zer gaixotasun eragiten dituzte?
Protozoo parasitoak oso arriskutsuak dira giza osasunerako. Ondorio batzuk dakartzaten hainbat gaixotasun sor ditzakete. Inola ere ez da gutxietsi behar protozooen parasitoak, pertsona bati kalte handia egin diezaiokeelako.
Parasito protozooek eragindako gaixotasunak:
Malaria
Gaixotasun honek zenbait aldaketa ditu ezaugarri. Batzuetan erliebea dago, orduan erliebea sintomak areagotzearekin ordezkatzen da. Sintoma nagusiak buruko mina, sukarra, goragalea, oka eta konbultsioak dira.

Urte askotan, kitina tratamendurik onena izan da. Hala ere, gaixotasun honen heriotzak medikuntza maila baxuan garatzen diren lekuetan ere gertatzen dira gehienetan.
Amebiasia
Beste gaixotasun ez hain arriskutsua, eta horren ondorioak ere tristeak izan daitezke. Eragilea ameba disenteria da.
Sintomak infekzioaren ondoren 7-10 egunetara hasten dira agertzen. Besteak beste, buruko mina, ondoeza orokorra, sukarra eta pertsona batzuek urdaileko mina izan dezakete. Konplikazioak jarraitzen dira, gibeleko arazoetan adierazten direnak. Gaixoak tratamendua garaiz hasten ez badu eta espezialista batekin kontsultatzen ez badu, ondorioak atzeraezinak izango dira.
Toxoplasmosia
Gaixotasunaren eragilea Toxoplasma gondii da. Gaixotasun honen sintomak begietako kalteak, nerbio-sistemak jasaten ditu, baita sistema kardiobaskularrak ere. Askotan, hasieran infekzioa ez da nabarmena eta katarro arrunta balitz bezala pasatzen da.

Haurdunaldian infekzioa oso arriskutsua da. Haurrak bizirik irauten badu ere, ziurrenik begietan edo nerbio sisteman konplikazioak eta kalteak izango ditu. Beraz, lehen sintometan ere, ezinbestekoa da medikua kontsultatzea.
Balantidiasia
Balantidia bezalako mikroorganismo batek eragindakoa. Gaixotasun honen sintomak sabeleko mina eta indigestioa dira. Zenbait kasutan, sukar handia eta gorputzaren intoxikazioa ere posible dira.
Leishmaniasia
Gaixotasun honen eragilea leishmania dela jotzen da. Larruazal eta mukokutaneo agerpenekin, ultzerak agertzen dira. Mucocutaneous agerpenekin, hantura gerta daiteke askotan. Gaixotasun hauek arnas aparatuarekin lotuta daudenez, heriotzak egon daitezke.
Leishmaniasia herrialde beroetan aurkitzen da batez ere. Gaixotasun hau nahiko ohikoa da eta 87 herrialdetan gertatzen da.
Ikus dezakezun bezala, protozooen parasitoak izugarri arriskutsuak dira giza osasunerako, mikroorganismoen egitura sinplea izan arren. Giza gorputzean kalte konponezinak eragin ditzakete, baita zenbait ondorio eta konplikazio ekar ditzakete.
Nola transmititzen dira?
4 infekzio-metodo ohikoenak daude:
- Kontaktua - etxeko. Mota hau neurri sanitarioak edo higiene arauak urratzeagatik gertatzen da. Infekzioa hainbat ekintzetatik gerta daiteke: besteen gauzak erabiltzea, batez ere higiene pertsonaleko produktuak, platerak eta antzekoak erabiltzea. Hori dela eta, oso garrantzitsua da higiene pertsonaleko arauak betetzea, norberak zaintzeko produktuak edukitzea eta inolaz ere inorenak ez erabiltzea.
- Gorotza - ahozkoa. Mota hau gorotzekin edo okarekin kontaktuaren ondorioz gertatzen da. Parasito protozooa lehenik eskuetara edo "ostalari berriaren" elikagaietara sartzen da, eta gero bere gorputzera.
- Janarietatik. Mota hau kutsatutako elikagaiak jatearen ondorioz gertatzen da. Gaizki egositako arraina edo haragia, garbitu gabeko barazkiak eta frutak eta esnekiak izan daitezke.
- Transmisiboa. Mota hau kutsatutako objektu baten transmisioaren ondorioz gertatzen da ziztada batean, hau da, listuaren bidez.
Nola kentzeko
Artikulua irakurri ondoren, zalantzarik gabe, galdera hau sortzen da. Parasito protozooen infekzioak oso ohikoak dira, beraz, horiek kentzeko gaia izugarri garrantzitsua da.
Lehen esan bezala, infekzioaren lehen sintomak agertzen direnean, medikua kontsultatu behar duzu. Espezialistak zenbait proba eta azterketa agindu ditzake. Horiek gainditu ondoren, medikuak diagnostiko zehatza egingo du. Horren ondoren, tratamendua presaz hasi behar duzu. Era berean, ez da gomendagarria automedikatzea, diagnostiko zuzena egiten eta tratamendu egokia agintzen lagunduko dion profesional bat delako. Kasu gehienetan, medikuek parasitoak kentzen laguntzen duten eta pertsona baten berreskurapena bizkortzen laguntzen duten hainbat sendagairekin tratamendura jotzen dute.
Garai modernoetan, protozooen parasitoekin infekzioak laguntzen dituzten hainbat sendagai on daude. Merkatuan sendagai ugari dago, eta horri esker paziente jakin baterako egokia aurki daiteke.
Prebentzio neurriak
Aurreko arazoekin ez topatzeko, beharrezkoa da zenbait arau betetzea, baita prebentzio neurriak hartzea ere.
Arau eraginkorrenak haurrek eskolan ikasten dituztenak dira. Lehenik eta behin, ez dugu ahaztu behar fruta eta barazkiak ondo garbitzeaz. Egosi edo azala moztu ere egin dezakezu.
Ondoren, ezin duzu arrain gordinarik edo gutxi egositako haragirik jan. Platera guztiz prestatzea beharrezkoa da, tenperatura eta denbora baldintzak errespetatu produktua guztiz egosteko. Kasualitateko sexu-harremanak saihestu behar dira. Beharrezkoa da, halaber, ohiko azterketa medikoak egitea.















